Search Dental Tribune

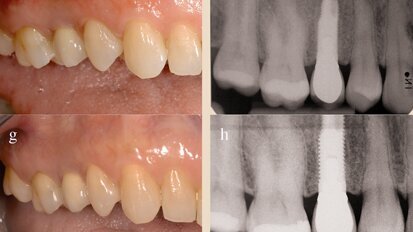
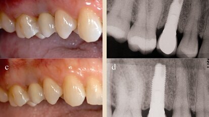
Neoss photos

Neoss Implantat System

Thu. 27. May 2010

advertisement
advertisement