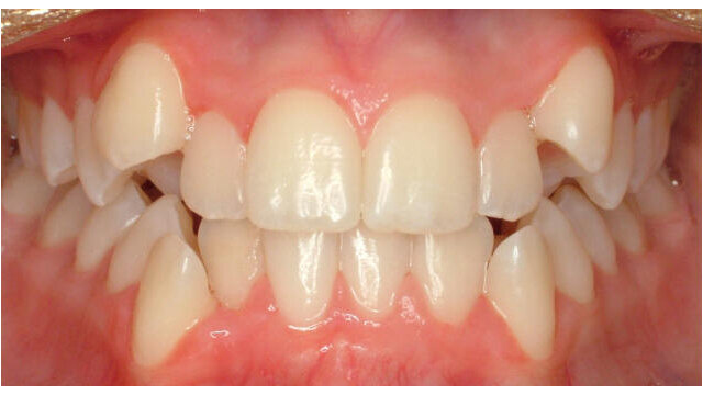
Dental crowding is commonly encountered in the Pakistan population during routine check-ups in community dentistry visits, operative dentistry and orthodontics. It is the most common complaint in the dental patients visiting the hospital and private practice. It usually happens due to negative difference between the space available in the dental arch and the space required to align the teeth. There is no space for all the teeth to erupt within the arches, which leads to mild-to-severe discrepancies in the arch. With regard to the severity of space deficiency, crowding is divided into three categories: first-degree (mild) crowding, second-degree (moderate) crowding and third-degree (severe) crowding.
The classification into primary, secondary and tertiary crowding takes into account the etiology of the space deficiency.
Primary (hereditary) crowding is determined genetically from parents and family members and is caused by disproportionately sized teeth and jaws. For example, we inherit our fathers jaws and mothers teeth.
Secondary crowding is an acquired anomaly caused by mesial drifting of the posterior teeth after premature or early loss of deciduous teeth in the lateral segments and/or lingual or distal displacement of the anterior teeth. Patients should be advised to avoid getting primary carious teeth and to control their diet especially in the mixed dentition phase.
Tertiary crowding is still under debate. This type of crowding— primarily in the mandibular anterior teeth— occurs during and after adolescence and was previously thought to be associated with third molar eruption. Others attribute the anomaly to differential antero-posterior growth of the maxilla and mandible terminating at different times, in combination with differential rotation of the maxilla and mandible with growth. Malocclusions with crowding are more common in modern populations than those involving interdental spacing and wide arches.
Conclusion
Dental crowding affects all age groups in both the sexes. The dilemma of crowding is that it creates unpleasant smiles and oral hygiene problems, and patients usually ask lots of questions regarding treatment options. Other causes of crowding are supernumerary teeth and other dental anomalies which can also be inherited from family members. The timely extraction of teeth, and particularly the early loss of deciduous teeth causes crowding. Patients should be advised to maintain oral hygiene and to regularly visit their family dentist every year.
Dental pain and anxiety are cited as the most common reason why patients avoid dentists. Indeed we see so many comics and expressions mimicking the same ...
With COVID-19 vaccinations beginning in Pakistan, dentists are entering a critical phase in this pandemic along with the rest of the healthcare services.
QUETTA- Dentistry is an ever evolving field with new research coming up regularly and hence keeping abreast with all the basic knowledge is mandatory for ...
Live webinar
Thu. 14 May 2026
9:00 pm PKT (Islamabad)
Live webinar
Thu. 14 May 2026
11:00 pm PKT (Islamabad)
Prof. Hani Ounsi DDS PhD FICD
Live webinar
Tue. 19 May 2026
8:00 pm PKT (Islamabad)
Live webinar
Tue. 19 May 2026
10:00 pm PKT (Islamabad)
Prof. Dr. med. dent. Ivo Krejci
Live webinar
Wed. 20 May 2026
4:00 pm PKT (Islamabad)
Dr. Graham Carmichael BDSc (Hons), DClinDent (Pros), FRACDS, Dr. Robert Gottlander DDS
Live webinar
Wed. 20 May 2026
6:00 pm PKT (Islamabad)
Live webinar
Wed. 20 May 2026
10:00 pm PKT (Islamabad)
Prof. Dr. med. dent. Tim Joda PhD, MSc, eMBA
To post a reply please login or register