Crown and bridge constitute a major part of day to day dentistry in the west. My practices in California used to generate 50% of the revenue from crown and bridge work. However, proper case selection, gingival health, and a number of other factors play an important role in the long-term prognosis of indirect restorative work.
The key to long term prognosis is proper case selection. The laid down principles in dentistry state a 5 year warrantee for the crowns we deliver. This can only be made possible by being more calculated and deliberate in our treatment planning. Using weak abutments or compromised root canals as a basis for crowns will lead to failure. If a tooth is grossly damaged and not able to survive for at least 5 years or there is a failing endodontic treatment, crowning it will result in failure. There has to be enough healthy tooth structure to build a tooth up for it to be crowned.
If the tooth is too weak to be restored, it is best to extract it and perform a procedure which would have better prognosis in the long run. If endodontic lesions cannot be resolved and there is a high chance of root canal treatment failure, such teeth should not be considered for crowning or as abutments. If we are not sure about an endodontic treatment outcome, we should wait till periapical lesions resolve and only then proceed to indirect restorations. Sometimes, we need to wait up till 6 months for healing in those cases.
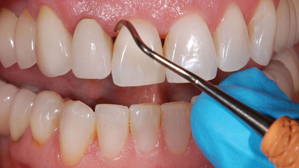
Meticulous case selection will guarantee long term prognosis. However, before any restorative procedure, it is a prerequisite to have healthy gums. Full mouth periodontal charting must be performed for every patient to determine the level of hygiene protocol. Absence of deep pockets & bleeding on probing should be verified; otherwise integrity of the coronal margins cannot be achieved. If pocket depths are more than 3 mm, sub-gingival root planing & curettage is indicated. We cannot proceed with restorative work unless we achieve healthy pocket depths at 1-3 mm; because anything more than that is not accessible to normal home care hygiene protocols.
In the US, it is a must to have a complete periodontal chart for every patient and if any restorative procedure is performed without establishing gingival health, practitioner can get in trouble. The minimum standard of care for crown and bridge work is to document all the treatment that has been performed for establishing gingival health, along with periodontal charting.
Crowns are indicated in the following cases:
A large cavity threatens the ongoing health of a tooth and 2/3rdor more of the occlusal surface has been lost due to decay.
Grossly damaged or badly broken/traumatized tooth structure that is non-restorable with direct fillings.
The tooth shows large, unsightly fillings, discolorations or the tooth is stained or unusually shaped e.g. peg laterals.
Endodontically treated teeth are devoid of vital pulp and hence are very weak. They need to be crowned for strength.
To cover dental implants.
Dental abrasion, advanced dental erosion or Bruxism.
Teeth need to be properly prepared for any indirect restorations.
Proper knowledge of occlusion, material used & aesthetics considerations are key to success of indirect restorations. Most common errors in crown preps are:
Over preparation
Under preparation
Undercuts
Over tapered
Adjacent tooth damage
Wrong prep design
Axial line angles not followed
Once we have established gingival health and determined that tooth is fit for indirect restoration we decide what type of crown it will be.
PFM’s are no longer a treatment of choice for aesthetic zone. These crowns are made up of two components- A layer of porcelain, supported by a metal shell underneath. Since PFM crown has a metal substructure, it must be masked with a layer of very opaque (chalky white) porcelain so that its tint doesn’t show through. Consequently, only a comparatively thinner layer of translucent porcelain can be placed, thus reducing the crown’s overall ability to truly mimic lustrous look of natural tooth.
In contrast to this, all ceramic crowns such as E-max and Empress are now being preferred in anterior teeth. Unlike PFMs, they lack metal base and are all ceramic hence imitate natural teeth’s translucency. Also, the harmony between empress and dental tissue, and the chameleon effect of the ingredients provide the ideal color and esthetic appearance. However, the bonding of E-Max crowns should be done very intentionally since it is a highly technique sensitive procedure. Moisture control & isolation should be at 100%, otherwise the prognosis of restoration is expected to be highly compromised. For All-Porcelain crowns, mere bonding is preferred over cementation.
All detailed characteristic features of natural teeth can be transferred to all ceramic crowns. E-max or empress crowns can be used in single tooth restorations in posterior region but long span bridges might result into fracture of the restoration.
Zirconia or zirconium is the choice of material to be used in posterior region for replacing missing teeth as it is the hardest known ceramic in industry and basically the strongest material used in dentistry to this point. The zirconia core structure can be layered with aesthetic porcelain to create the final color and shape of the tooth. Similar to gold, it is very well tolerated by the body, has no allergic effects and, because it is not a metal, it never corrodes. However, it is radio opaque and doesn’t have the desired translucency to be placed on anterior teeth unless in case of heavy bruxism.
In a nutshell, zirconia is strongest, but not as pretty, empress or e-max esthetically exceptional, but not the strongest, and PFM is obsolete in terms of esthetics & strength. The front teeth are normally best treated with Empress or Feldspathic porcelain, since the strength issues are less important in front teeth. And Zirconium is treatment of choice for molars.
Lastly, a good impression and bite registration is the key to success of the restoration. Alginate impressions for crown bridge work need to be completely stopped. A more stable material like polymeric impression materials (light/heavy body) is the material of choice in such cases.
Unfortunately, 78% of the crowns I came across during my first two years at Ideal Smile had open margins, root decay, overhangs, residual decay, poor occlusal anatomy & compromised esthetics. Crowns here normally last just two to three years. Such consequences can be prevented by taking bitewing X-Rays (before cementation) to confirm that crown margins are blending in smoothly with the natural tooth structure. If inappropriate proximal contacts/overhangs/open margins are evident on bitewing, the crowns should be sent immediately back to the lab & should not be cemented unless the issue has been resolved.
Above mentioned measures ameliorate the quality of work being delivered. And will motivate the patients to think otherwise. The public generally has a perspective that they will eventually lose their teeth after getting crowns or bridges done; so why get them in the first place. We as dental community have accepted a short term prognosis and that is why, unfortunately, there is no real effort among dentists to change it. We emphasize so much on learning implants & completely neglect learning about bread & butter of dentistry i.e. crown & bridge preparations. The poor quality of restorative work is the biggest hurdle in the growth of dentistry in Pakistan. There is so much potential to grow as a dental community if we focus on improving quality of our restorative work.
Factors that Determine Success of the Restoration:
Marginal Integrity:
The crown margins should be designed in such a way that they blend-in with the natural tooth structure leaving behind no open margins. This would ensure long term prognosis of the tooth underneath.
Contact Areas:
Proper interproximal contacts ensure gingival health by avoiding food impaction between teeth.
Occlusal Anatomy:
The anatomy of crowns & bridges should be exactly the same as natural teeth. Improper occlusal anatomy such a flattened cusps would result in poor bite and inadequate load distribution among teeth, leading to TMDs & cracks in teeth.
Shape:
The overall shape of crown/bridge should be identical to the natural tooth. Inappropriately shaped crowns hinder ideal functioning & mastication.
Thickness:
The crowns should not be extra bulky so as to overload the natural tooth. Ideal crown thickness is 2.5mm for PFM, 1-1.5mm for zirconia & 0.5mm for E-max.
Function:
Crowns/Bridges should completely restore masticatory function of the tooth that is being restored. Cutting and grinding action for anterior and posterior teeth should be restored respectively.
Color:
Esthetically, the crowns placed should complement a patient’s overall look. The crown shade should match the adjacent natural teeth & shouldn’t stand out.
Long Term Prognosis:
To ensure longevity of crows, an ideal bite should be established. It is also imperative to maintain gingival health after restoration for which re-care visits should be scheduled every 6 months.
With COVID-19 vaccinations beginning in Pakistan, dentists are entering a critical phase in this pandemic along with the rest of the healthcare services.
Everyone understands the effectiveness of fluoride in preventing caries and hypersensitivity. People believe it as a universal fact, that it can treat ...
With the recent surge of Novel Corona Virus in China, new developments are updated from all over the world. The contagious and potentially deadly illness is...
It’s time to say good-bye to the old ways of making traditional physical impressions. While once deemed the way of the future, physical impressions ...
Pakistan has one of the most prevalent cases of oral cancers in the world. Oral cancers have a very high mortality rate within the first five years of its ...
Education
Live webinar Thu. 30 April 2026 4:00 am PKT (Islamabad)
To post a reply please login or register