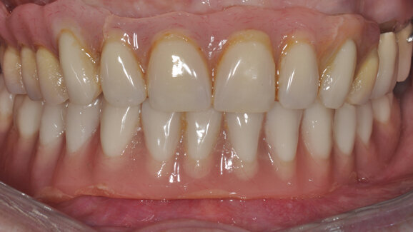
Lahore: Topics covered during the training were; Treatment of various frenal attachments, Suturing techniques, Soft Tissue & Esthetic Considerations in Implant Therapy, The Significance of Smile Lines in Implant Dentistry, Soft Tissue Grafting & Mucogingival Defects and Smile Lines.
A course on Reconstructive Periodontal Plastic Surgery was conducted by Dr Mahmood Qureshi – Fellow of the American Dento-Facial Esthetics/Implant Dentistry, President of Pakistan Academy of Implant Dentistry and the Director of Implant & Reconstructive Surgery— This Continuing Education Program was held on 8-10 November, 2013 at the MQ Implant Institute in Lahore.
The Course Outline included; Soft tissue periodontal plastic surgery techniques, Soft Tissue Manipulation; Surgical management of Peri-implant soft tissues, Creating a stable soft tissue environment, Soft Tissue Manipulation, Soft Tissue Grafts, Free gingival graft, Subepithelial Connective Tissue Graft, and Palatal pedicle graft techniques.
Other topics covered during the training were; Treatment of various frenal attachments, Suturing techniques, Soft Tissue & Esthetic Considerations in Implant Therapy, The Significance of Smile Lines in Implant Dentistry, Soft Tissue Grafting & Mucogingival Defects and Smile Lines. It also featured Hands-On Live Patient Surgeries and Supervised Surgical Sessions.
Multiple Innovative Surgical Techniques were taught by the course conductor. The participants were given the opportunity to perform procedures on patients. It turned out to be a valuable learning session, with enthusiastic participation of a number of practitioners.
LAHORE- “The Institute of Advanced Dental Sciences (IADS) at the Boulevard Dental Practice, Lahore recently concluded its 5th long course titled: ...
LAHORE – Pakistan Dental Association’s (PDA) 13th International and 33rd National Dental Congress on “Innovations in Dentistry… A ...
University of Health Sciences kicked off day one of the 1st UHS International Dental Conference on October 3rd, at the Convention Center, Expo Center ...
Live webinar
Thu. 14 May 2026
9:00 pm PKT (Islamabad)
Live webinar
Thu. 14 May 2026
11:00 pm PKT (Islamabad)
Prof. Hani Ounsi DDS PhD FICD
Live webinar
Tue. 19 May 2026
8:00 pm PKT (Islamabad)
Live webinar
Tue. 19 May 2026
10:00 pm PKT (Islamabad)
Prof. Dr. med. dent. Ivo Krejci
Live webinar
Wed. 20 May 2026
4:00 pm PKT (Islamabad)
Dr. Graham Carmichael BDSc (Hons), DClinDent (Pros), FRACDS, Dr. Robert Gottlander DDS
Live webinar
Wed. 20 May 2026
6:00 pm PKT (Islamabad)
Live webinar
Wed. 20 May 2026
10:00 pm PKT (Islamabad)
Prof. Dr. med. dent. Tim Joda PhD, MSc, eMBA
To post a reply please login or register